〜元気でも見逃される病気と画像検査の重要性〜
健康診断といえば「血液検査」を思い浮かべる方が多いのではないでしょうか。
もちろん血液検査は、臓器の働きや炎症、貧血などを知るうえで欠かせない検査です。
しかし、血液検査では 見つけられない病気 も少なくありません。
わんちゃん・ねこちゃんは、元気に見えても体の中で病気が静かに進行していることがあります。
今回は血液検査だけでは分からない病気の例をいくつかご紹介いたします。
まだ元気なのに、体の中では病気が進行していることも…!?
目次
血液検査だけではわからない病気

血液検査だけではわからない病気
〜〜 犬編 〜〜
<1> 心臓病

小型犬で最も多いのは心臓弁膜症です。
特にチワワ、マルチーズ、キャバリア、トイプードル、シーズに多いため、あなたの愛犬がこれらの犬種であれば要注意です!
7歳を過ぎると発症率が増え、10歳以上では 約3〜4割 の小型犬に心雑音が認められます。
初期の弁膜症は咳や疲れやすさなどの症状がほとんどなく、一般的な血液検査では異常はわかりません。

〜心臓病は小型犬だけの病気ではありません〜
大型犬に多い心臓病は拡張型心筋症です。
遺伝性があると言われており、ドーベルマン、ボクサー、グレート・デーン、ゴールデン・レトリーバー、セント・バーナードなどが特に多いです。
<心臓病を見つけるために必要な検査>

レントゲン検査
心臓の大きさ・形の変化
肺にうっ血や水がたまっていないか
気管や肺への圧迫の有無
→ 進行した心臓病のサインを早期にキャッチできます。
エコー検査
弁の逆流の有無と程度
心筋の動き(収縮力)
血流のスピードや方向
心臓内の圧力の推定
→ 症状が出る前に、どの程度の治療や経過観察が必要か判断できる唯一の方法 です。
<🐶 心臓病を見逃すと起きること>
初期はほぼ無症状
聴診で心雑音がある、心臓の形が少し大きいなど、検査でしか分からない段階。飼い主さんは元気に見えるため気づきにくい。
進行すると出てくる症状
咳が増える(夜間・早朝に特に多い)
運動を嫌がる、疲れやすい
呼吸が早い・苦しそうに見える
食欲低下や体重減少
重症化すると危険な状態に
肺水腫(肺に水が溜まり、命に関わる呼吸困難)
失神(脳への血流不足)
不整脈による突然死のリスク
治療開始のタイミングが重要
心臓病は「症状が出てから治療する」よりも、「症状が出る前に治療を始める」方が予後が良いことが分かっています。特に僧帽弁閉鎖不全症などは、症状が出る前からお薬を開始することで寿命を延ばせるという研究データがあります。
<2> 肺腫瘍
高齢犬・猫での発症が増加傾向
特に10歳以上の高齢動物で発症リスクが高まります。
初期症状がほとんどないため咳や呼吸の異常が現れる頃には、すでに進行している場合が多いです。
健康診断で偶然発見されることが多い
早期発見が治療の鍵。早期に発見できれば、手術や放射線治療などの選択肢が広がり、治療効果も高まります。
健康診断で見つかった肺腺癌。 これ以上大きくなると切除も難しくなってきます。 このワンちゃんは切除後、再発もなく、過ごしています。
< 3 > 胆嚢疾患(胆泥・胆嚢粘液嚢腫)
全く症状がない病気
中高齢犬の 2〜4割 に胆泥症があると言われています
気づかずに放置してしまうと胆嚢炎や破裂につながることもあります
(突然、劇的な症状出すことが多い)
レントゲン検査でもわからないことがほとんどで、超音波検査でないとわからないことが多いです。

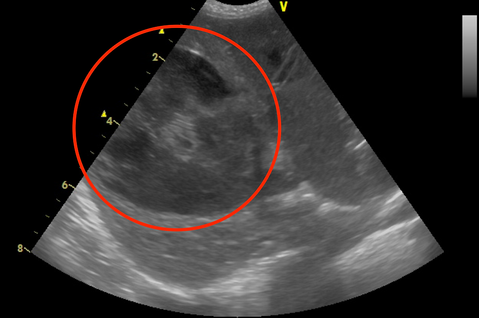
超音波検査で見つかった胆嚢粘液嚢腫
(赤丸印)
後に手術で胆嚢を摘出しました。
胆嚢粘液嚢腫にかかりやすい犬種
シーズー
ミニチュア・シュナウザー
ボーダー・テリア
ミニチュア・ダックスフンド
コッカー・スパニエル
ポメラニアン
特にミニチュア・シュナウザーは脂質異常が関係することもあるため、必ずチェック!
< 4 >尿路結石
尿検査と画像検査でしっかり確認
尿検査で結晶が見つかることも多く、血尿や痛みが出る前に発見されることもあります。
尿路(おしっこの通り道)にできる結石で、腎臓、尿管、膀胱、尿道のどれか、または複数箇所に形成されます。
尿路結石が多い犬種
小型犬で特に多い
ミニチュア・シュナウザー
ウェスト・ハイランド・ホワイト・テリア(ウェスティ)
シー・ズー
ミニチュア・ダックスフンド
大型犬で見られることもある
ラブラドール・レトリバー
ゴールデン・レトリバー
再発率 20〜40%と言われ、適切な治療をする必要があります。
尿検査、レントゲン検査、超音波検査を行い尿路結石の有無を確認します。

赤い丸印の部分が膀胱ですが、その中に数個の結石が認められます。
当院の健康診断コース
当院では、わんちゃんの健康を守るために、以下のコースをご用意しています。
<12月25日までは15%OFFキャンペーン実施中!> この機会に愛犬の健康状態をチェックしましょう。
シニアプラスコース(レントゲン+超音波):10歳超えたら迷うことなくこのコース
シニアコース(レントゲンあり):7歳以上は必須のレントゲンコースです
アダルトコース:3〜6歳におすすめの血液検査項目が充実したコースです
ヤングコース:0〜3歳までの血液検査のみのコースです
血液検査で分かること・分からないことを踏まえ、大切なご家族の健康をよりしっかり守るために、ぜひ画像検査を含めたコースをご検討ください。
















